

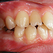
Y・Y 女性 12歳
当医院初診時: |
平成14年10月(6歳時) |
今回初診時: |
平成20年4月 |
【処置内容】
矯正による上下顎成長バランス補正と叢生の改善
今回治療期間: |
矯正前の歯列拡大で約1ヶ月半、矯正治療は約3ヶ月 |
費用: |
283,500円(歯列拡大装置と矯正) |
【今回治療後の考察】
小学校1年時(6歳、永久歯萌出開始時)より当院で咬合誘導をある程度してきた患者なのでその完成として本格的な矯正ではなく顎歯列補正ととらえ、非抜歯で歯列の連続性(叢生)を改善した症例。
患者様の侵襲を考え12歳時に歯列補正した症例でそれまでの患者様およびご家族の協力のもと必要最小限の矯正で歯列の育成ができたと思われる。今後の成長においてさらなるフォローをしていきたいと考える。
【リスク・副作用】
・矯正装置を装着することによる痛み、不快感が生じることがあります。
・歯の動き方には個人差がありますので、治療期間が延長する可能性もあります。
・矯正治療中には装置が付いているため歯が磨きにくくなるため、むし歯や歯周病のリスクが高まります。
・噛み合わせや歯並びが変化した場合、再治療等が必要になることがあります。
症例 case 6

症例発表
CASE 6
矯正による上下顎成長バランス補正と叢生の改善



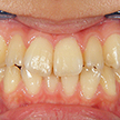
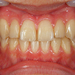
1. 術前正面

この患者様は幼児期から私が拝見している女の子の患者様です。乳歯交換期を終える段階の正面観です。上顎左右3,3番(犬歯)右上1番の中切歯の捻転が著明です。下顎に関しては、右下1番の舌側転位。左下2,3番間の叢生が著明です。正中もそれなりにずれています。
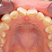
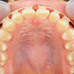
2. 術前上顎

上顎面観でやはり1,1番の翼状捻転および3,3番の捻転が著名。2次成長期を迎える患者様において、上顎歯列弓は劣成長と思われます。
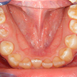
3. 術前下顎

下顎面観ではやはり右下1番の舌側転位、左下2,3番間の叢生が目立ちます。右下5番(第2小臼歯)が左側の同5番に遅れて萌出途中にあります。
4. 術前右側

下顎前突とまでは言えませんが、上顎が明らかに下顎と比較して劣成長です。年齢的にも上顎の成長はほぼ終了し、下顎の成長は継続しますので、より顕著となり、本当に下顎前突になると考えられます。
5. 術前左側

正中が相当ずれているためもあるのか、左上3番の近心辺縁隆線が左下の3番の舌側傾斜の原因となっています。下顎歯列の成長はまだ継続すると思われるので、今後より顕著となると思われます。
6. 上顎歯列拡大装置

セファロ計測や診断用模型等により、上顎は現段階での劣成長を認めるため、時期が遅いとは思いましたが上顎歯列の拡大目的で(少しでも上下歯列関係は好転したかった)、術前処置として装置にて行いました。
7. ジスキング直後

正面から見ると術前よりも上顎の顎堤が、下顎のそれと比較して拡大しています。これはこれからブラケット装着前にジスキング(一つ一つの歯の隣接面をエナメル質内に限局してミクロ単位でスライスしていき、全体で移動できるスペースを作る)したところの写真です。
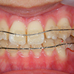
8. 矯正中正面

ジスキングには細心の注意を払い、矯正装置を装着したところです。ちなみに上顎の歯列拡大(少ししか拡大できなかったが)で、下顎左側の2,3番間の叢生が若干ですが改善しています。
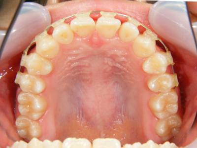
9. 矯正中上顎

可徹式の歯列拡大装置により、術前より若干ですが左右臼歯部の拡大と前歯部顎堤の前方移動を認めます。さらに多少のジスキングにより創出されたスペースを詰めていきます。
10. 矯正中下顎

下顎は上顎と比較して優成長でしたので、歯列の拡大はせずジスキングのみでスペースを確保して詰めています。年齢が12歳でこれから中学への就学に伴って下顎の成長が加速される懸念がありますので、上下顎の成長バランスを考慮します。
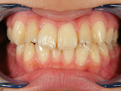
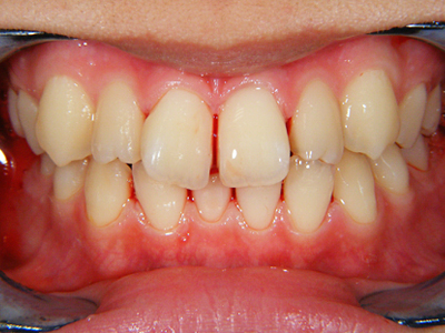
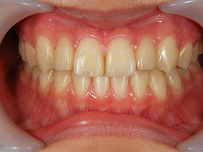
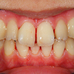
11. 術後正面

矯正装置による動的移動を終え、ブラケットを除去して歯冠研磨した後の正面写真です。ブラケット装着期間は約2ヶ月強。その間は毎週来てもらいました。もちろん早ければ良いというわけではなく、無理な歯牙移動はさまざまな弊害をもたらします。後は可徹式の保定装置を作製します。
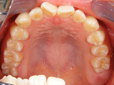
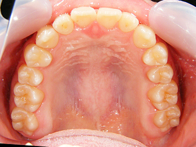
12. 術後上顎

術前と比較して前歯の翼状捻転の改善、上顎顎堤の拡大が認められます。
当然顔貌の変化も認められ、「ちょっと下顎が過成長なのかな?」と思った顔貌も改善しました。上顎の成長が止まる時期でしたが、少し手を加えるといわゆる成長曲線の範疇に戻ることをよく経験します。
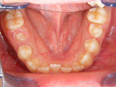
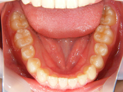
13. 術後下顎

前歯部の叢生および左下2,3番間の乱杭が改善され、全ての歯牙の唇面の連続性が確保されています。当然、口腔清掃しやすい環境になりますし、発音などにも良い影響を与えます。またこれから年齢を重ねても、虫歯や歯周病の予防に繋がります。
14. 術後口元

口角がしっかりと上がり、女の子から女性になったような魅力的な笑みを見せてくださいました。何といってもこれから思春期を迎える患者様が明るく笑える心理面、コンプレックスの改善を考えれば、この早期段階で施術したことは結果的に良い提案ができたと思っています。今後の定期健診に期待します。私が言いたいことは、乳歯交換期から定期的に管理していれば、本格的な矯正をせず歯列補正程度の短期(この場合は3ヶ月)で改善できるのではということです。ちなみにこの症例は252,000円で受けてしまいました。後でその診療に費やした時間や材料を計算したら思いっきり赤字でしたが、その費用を提示したのは私でした。患者様やご家族の方々には喜んでもらえたらそれでいいです。
矯正による上下顎成長バランス補正と叢生の改善


















































