

K・I 男性 40歳
当医院初診時: |
平成20年 3月 |
今回主訴: |
右下7番詰めたものがとれた、2年以上前に他医院でセット |
【処置内容】
主訴のインレー(詰め物)処置
上顎前歯部の叢生(右側の八重歯)の改善
セラミック冠処置(都合3歯分)
今回治療期間: |
約7ヶ月(矯正に関しては約3ヶ月) |
費用: |
504,000円 |
【今回治療後の考察】
右上の3番(犬歯)がいわゆる八重歯で、その周囲被覆冠(特に一つ後ろの4番はセラミック冠であったが、2次カリエス顕著)の清掃が困難になっていました。もともと口腔清掃状況は良好でしたが、その叢生部の清掃が困難な環境だと判断し、矯正による歯列の改善を提案いたしました。その後は、同周囲部の不良歯冠の交換や失活歯の処置で、都合3歯をセラミック冠にいたしました。審美的に口腔環境を改善できた症例です。これだけプラークコントロールの良い患者様でも、周囲環境が悪く2次カリエスを作るのなら(最初からカリエスの取り残しで、自費のセラミックを入れたとは思えませんので)、安価な健康保険の被覆歯にして、その分のお金で歯列改善をした方が良かったのではと考えさせられます。「セラミックの歯がいくら」ではなく、「環境の改善にいくら掛ける」が、重要なのです。
この患者様はネット関連のSEをされ、やはり職人です。とても向上心があって、優しくて気さくな方でした。矯正に関しては正直赤字でしたが、良い仕事をさせていただけて感謝しています。
【リスク・副作用】
・矯正装置を装着することによる痛み、不快感が生じることがあります。
・歯の動き方には個人差がありますので、治療期間が延長する可能性もあります。
・矯正治療中には装置が付いているため歯が磨きにくくなるため、むし歯や歯周病のリスクが高まります。
・噛み合わせや歯並びが変化した場合、再治療等が必要になることがあります。
・セラミック治療は保険適用外・自費診療となります。
・健康な歯、天然歯を削る必要があります。
・歯の状態によっては神経を治療が必要な場合があります。
・強い力をかけると割れる(欠ける)可能性があります。
症例 case 4

症例発表
CASE 4
矯正後セラミック冠症例



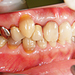
1. 初診時正面

この患者様の主訴は右下7番(第2大臼歯)の詰め物の脱離でした。口腔内写真を撮らせていただくと右上の八重歯(3番の唇側転移)が顕著でその叢生の結果、周囲が不潔となり歯肉炎およ2番(第2前歯)の歯頚部の異常他退縮が認められます。
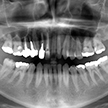
2. 初診時上顎面観

全顎パノラマ写真においては右上1番が失活歯、2番は叢生のままで不適合な前装冠(差し歯)、八重歯の3番は健全歯、4,5番も2番同様不適合冠処置となっています。比較的プラークコントロール(以下PCR)の良好な(歯ブラシの仕方が上手な)この患者様も同部が上手に磨けず不潔となり崩壊過程にあることが考えられます。
3. 初診時上顎

上顎面観では正面観よりも八重歯が顕著です。この部位2,3,4番はPCR良好な方でもまともには清掃できません。この八重歯でよく口唇に咬傷を作るうえ、ご自身でも上手く磨けずせっかくセラミックを入れたのに臭いがすると訴えておられます。4番にはパーシャルバイクのセラミック冠(自費診療と思われる)が入っています。結果論ですがこの4番の崩壊が一番顕著で抜歯となってしまいました。患者様には「高額の費用だったのに一番先にダメになった」と医療不信を持たれる原因となりました。
4. 初診時下顎

主訴である右下7番は早々に健康保険内インレー処置としました。下顎に関しては上顎のような問題は特になさそうです。しいて言えばテトラサイクリン等によると考えられる歯の変色でしょうか。
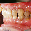
5. 初診時右側

八重歯を中心とした叢生が顕著です。その周囲のみが既にクラウンとなっており、不適合が目立ちます。
6. 初診時左側

右側の八重歯が相当飛び出しているのが目立ちます。これでは口唇を咬みそうです。閉口障害となり同部が乾燥して良好な環境ではありません。治療方針として八重歯を何とかしたいと考えます。
7. 矯正開始時正面

右上4(八重歯の一つ後ろで自費のセラミック冠の歯)が残根状でもあり抜歯となりました。これはもう矯正しなさいと天の声がしまして患者様に提案いたしました。
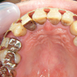
8. 矯正開始上顎

4番は抜歯となっています。費用のこともありましたが、小矯正扱いとして約12万円強(セラミック冠約1本の費用)でおこないました。せっかく以前に入れたセラミック冠が抜歯になった気持ちを察しますと、歯科医としてその周囲環境を改善したかった私の気持ちから(私がかぶる)このような破格な金額で請負いました。他の患者様にもこの金額で施術したら医院はつぶれます。
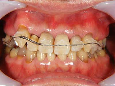
9. 矯正終了前正面

矯正開始前と比較してだいぶ1,3番間が開離して3番の八重歯が改善されています。3番の歯肉辺縁も向上してきています。将来セルフケアしやすいように注意しています。
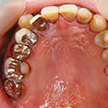
10. 矯正終了前上顎面観

右上3番の位置がだいぶ歯列内に収まって3,5番間のスペースも消失しています。ここまでの期間は約2ヶ月です。もちろん矯正はゆっくりじっくりやるのが基本で早ければ良いものでは全くありません。
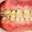
11. 仮歯仮着時正面

とりあえず歯列は改善しました。審美的なことも重要ですが、やはり衛生面からの環境は向上したものと考えます。仮歯で保定を兼ねています。この写真では右上2,4番を仮歯としていますが1番も補綴予定です。
12. 作成模型

右上1,2,4番(3番以外)の歯冠を作成するための精密模型です。以前より入っていた不適合の冠2,4番と根管充填のままの1番です。患者様は歯列改善に対して喜んで下さり、セラミック冠(MB冠、自費でまたやっていただけました。1歯11万5500円、14Kコア別途)で作成することになりました。患者様の医療不信は解けましたが、信頼に応えるための責任の重さを強く感じます。
13. 作成セラミック冠

作成したセラミック冠(これはMB冠)3歯です。冒頭でも記載しましたがテトラサイクリン等による変色歯です。色彩決定(シェードテイク)は苦労します。色彩が合うまで(患者様が気に入るまで)基本的に差し歯とわからない差し歯が良いと思います。
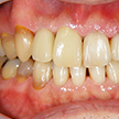
14. セラミック冠セット時正面

全く同様の色彩にするのも可能ですが、出来れば少し変色歯列が目立たないような歯列にしたいとのことで現状のシェードで仮着しています。左右1,1番の歯肉辺縁をシンメトリーにするともっと自然かなと考えます。今後は逆の左側1,2番あたりの歯肉整形を考慮しています。
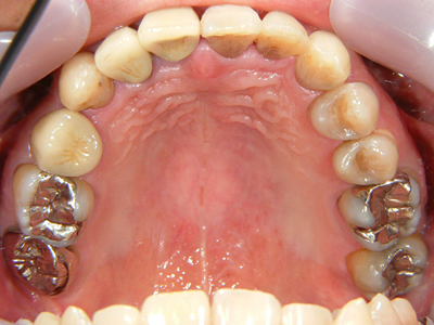
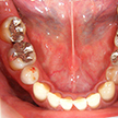
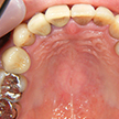
15. セラミック冠セット時上顎

初診時と比較してPCR(歯ブラシなどによるセルフケア)がしやすいシンプルな歯列と思われます。これならば2次カリエスや歯肉炎などは予防しやすいと考えます。自費診療は「歯がいくら」ではなく、いかにその患者様に自身のエネルギーを注ぐかで決定されるものと、再確認させていただく私にとっては重要な症例でした。右上3番が若干あと戻りしているのがうかがえますが、今後はリテーナー等で補正していきます。
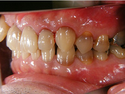
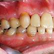
16. セラミック冠セット時右側

4番は抜歯してすでにありませんが2,3,5番にかけて連続性が確保でき、歯列が改善されました。審美的にも清掃面でも良好な環境となったと思われます。
17. セラミック冠セット時左側

反対側から見ても右側歯列の連続性が確保されています。セラミック冠だから「自費でいくら」ではなく、その環境を向上させるための過程の説明や努力、情熱が自費診療なのだと再確認した症例です。この仕事は自由診療費として約50万円強と健康保険処置分の自己負担金で受けました。
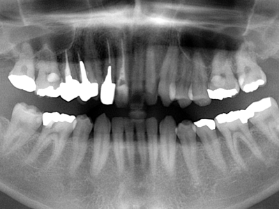
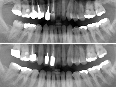
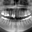
18. 術後X線写真


初診時X線パノラマ写真と比較してレントゲン上でもシンプルだと考えます。4番の近心側のPCR等は注意して、今後の定期健診に期待いたします。
矯正後セラミック冠症例






















































