

R・I 女性 22歳
当医院初診時: |
平成19年12月 |
今回主訴: |
右下の銀歯がとれた |
【処置内容】
右下6番部インプラント
左上4番転位歯抜歯
上顎8番(親知らず抜歯)
左下5番埋伏、および6番部の今後の方向性の明示
その他細かい虫歯処置や口腔保健の啓蒙
今回治療期間: |
1年 |
費用: |
357,000円(インプラント1歯分) |
【今回治療後の考察】
キャンセルが圧倒的に多く計画とおりに行かない状況で、患者様への説明を反復しながら、何とか当初提示した目的を達成することによって、患者様の協力性を少しずつ引き出せた症例。
歯科における自由診療に対しての無理解が当初あったが、その価値を認めてくださったかな?と考える。
健康保険の規制により欠損部の両隣在歯を削合してブリッジにせず良かった(セラミックなどの審美的ブリッジももちろん保健外)。インプラントを積極的に進める歯科医には(あまり大きく言えないがいろいろな理由がある)抵抗があるが、これでインプラントを提示しなければ、逆に歯科医として不作為であると思う症例。
【リスク・副作用】
・インプラント治療には保険が適用されないので自費(保険適用外)での診療となり、、治療費が高額になります。
・インプラントの埋入ともない、外科手術が必要となります。
・インプラントの耐用年数は、口腔内の環境(骨・歯肉の状態、噛み合わせ、歯磨きの技術、メンテナンスの受診頻度、喫煙の有無など)により異なります。
・セラミック治療は保険適用外・自費診療となります。
・健康な歯、天然歯を削る必要があります。
・歯の状態によっては神経を治療が必要な場合があります。
・強い力をかけると割れる(欠ける)可能性があります。
・歯を抜いた後に起こる一般的な反応として、腫れることがあります。
個人差がありますが、2日~2週間程度腫れることもあります。
症例 case 5

症例発表
CASE 5
右下インプラント



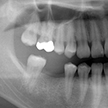
1. 初診時X線パノラマ

平成19年の年末に初めて来院した時のX線パノラマです。主訴が右下6番の銀歯の脱離との事ですが、同部はもう残根となり抜歯必至です。他には上顎親知らず。左上4番の転位歯、左下5番の埋伏と6番の不良根充が目立ちます。
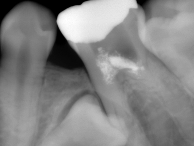
2. 初診時右下6番X線デンタル

初診時の主訴であった右下6番の歯冠が脱離した部位のX線デンタルです。患者様は銀歯が脱離してしばらく放置したとのことで、痛みもないので又歯冠をつければ良い位に考えていた様子でした。歯根吸収の状況より当時22歳とのことで、相当若年時に抜髄されたのが想像できます。考えてみれば6歳に萌出して15年で抜歯となった訳です。上顎8番の同部への移植も考慮しましたが断念しました。
3. 左下根治前X線

やはり初診時の左側6番部です。5番が埋伏してその歯冠が6番の近心に被っています。乳歯列交換期おそらく7〜10歳位に6番を露髄させ、生切して乳歯Eを早期抜歯し、その後の保隙処置がなされなかったと思われます。
4. 左下6番根治後X線

左下5,6番部に関しては悩みました。6番が失活で不良根充です。6番のみならず埋伏している5番までダメになると思われます。埋伏歯を抜歯して6番を再根治するか?根治してもやはり失活は弱いので、6番を抜歯して5番をエクストルージョン(矯正にて引っ張り出す)するか?患者様には説明を何度も繰り返し、ご自身で選択してもらいました。歯科医任せではダメという認識が芽生えたようです。結局6番は再根治して出来るだけ保存し、ダメになるようなら抜歯して5番を引っ張り出す展望で経過観察とします。
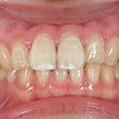
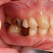
5. 施術前正面観

この患者様に関しての口腔内写真は、この段階から撮らせていただきました。初診時に撮っていれば良かったと痛感しています。
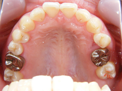
6. 施術前上顎観

上顎左右の8番(移植歯としての利用は断念)、および左上4番の抜歯した後の上顎写真です。これを見て思うのは、1歯レベルではとても良質の歯をしているのに、6番(6歳臼歯)が失活(神経を取った)又はかぶせ物がなされていることから、小学校から高校くらいまでの間は混合歯列期(乳歯と永久歯が共存している時期)や最初に萌出する6番の時期に、歯科的なアプローチが結果的に不十分だったことです。
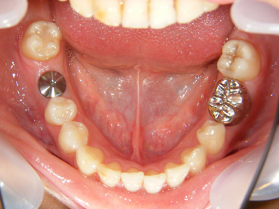
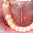
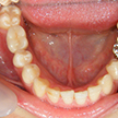
7. 施術前下顎観

下顎も1歯レベルでは本当に良い歯質をしています。残念なのは右下6番部の欠損(残根は抜歯済み)と、左下に存在する埋伏の5番と6番の関係です。やはり小児期の咬合誘導や口腔保健の対応は重要です。ただ子供の歯の虫歯だけ詰めるのが小児歯科ではありません。(6番は再根治して保健にて冠装着済み)問題は右下で、両隣の天然歯を削ってブリッジにするかどうかです。
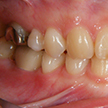
8. 施術前右側観

6番部の欠損です。両隣在歯は良い歯をしています。絶対削りたくありません。ましてやブリッジにするために、最後臼歯の咬頭関係を崩してまで削るのは、咬合を崩すことになります。単独インプラント適応です。22歳です。
9. 施術前X線パノラマ

22歳の可愛らしい女性で、この都心で一生懸命働いて自活なさっている方です。インプラントは当医院では約40万円かかります。キャンセルも多く、治療運営上もコントロールできるかどうか不安でしたが、インプラントの説明をこの段階から始めました。当初はこのままでも良いなどと自虐的なこともおっしゃっていましたが、説明を3ヶ月行い、納得していただけました。
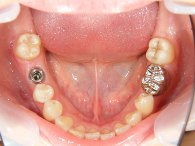
10. インプラント埋入後

インプラントを埋入後、約1ヶ月後の写真です。患者様はインプラントを悩んでいる時期が長かったので、ブラッシングの指導をしっかりさせていただきました。その結果、常に清潔を維持できるようになったので、周囲歯肉の治癒も早かったです。初診時では可愛い女性なのに、歯肉炎で歯肉も真っ赤で辛かったと思います。
11. インプラント埋入後X線パノラマ

右下6番部のインプラント埋入後のX線写真です
12. インプラント歯冠作製前

インプラント体埋入から約3ヶ月後です。しっかりインテグレーション(骨との結合)が得られたので、これから上部構造を作製します。この場合は既成のアバットメントを装着しました。インプラント周囲歯肉も予想以上に健全です。
13. インプラント歯冠作製模型

極力直径の太いサイズのインプラントにするよう努めています。装着後のプラークコントロールがしやすいように、他部位と同サイズの歯間ブラシが挿入しやすいエマージェンスプロファイルを考慮します。ちなみに対合は普通石膏ではありません。あしからず。歯冠はセメンティングタイプのセラミック冠です。
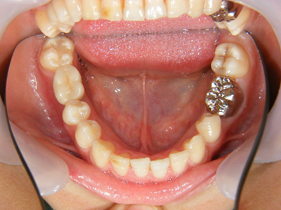
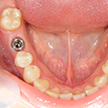
14. インプラント歯冠セット時下顎面観

右下6番部インプラントにセラミック冠を装着(ほとんどの症例では仮着)した下顎写真です。
15. インプラント歯冠セット時右側面観

右下6番部インプラントにセラミック冠を仮着したところです。何とか歯頚部の連続性が保てました。又歯冠乳頭も少し温存できました。キャンセルが多く苦労しましたが、今後は確実に定期健診を受けて下さらないと保障できませんよ。何かあれば、いつでも相談してください。
右下インプラント



















































